歯周病が重度になったら?重度の歯周病の症状・治療法
- ブログ

こんにちは。長野県長野市にある歯医者「たかみさわ歯科医院」です。
歯周病は静かなる病とも呼ばれ、初期段階では痛みが少ないため、気づかないうちに進行することも珍しくありません。歯周病が重度にまで進行すると、歯だけでなく全身の健康にも悪影響を及ぼすことが報告されており、放置するリスクは大きいといえます。
この記事では、重度の歯周病が引き起こす具体的な症状や、重度の状態からでも改善を目指すための治療法、さらに予防のために日常生活でできる対策について、詳しく解説していきます。歯や口の健康が気になっている方は、ぜひ最後までご覧ください。
歯周病とは

歯周病とは、歯を支える歯茎や歯槽骨といった歯周組織に炎症が起こり、徐々に破壊されていく慢性の疾患です。初期段階では歯茎が赤く腫れる程度で、痛みもほとんどありません。そのため、自覚症状がないまま進行するケースが多く、気づいたときには中等度から重度の歯周病になっていることも少なくありません。
また、歯周病は単なる口の中の病気にとどまらず、全身の健康にも影響を及ぼすことが近年の研究で明らかになっています。つまり、歯周病は生活習慣病のひとつとして捉えるべき、非常に身近で深刻な病気なのです。
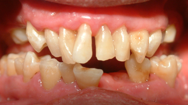
歯周病の重度の症状

歯周病は段階的に進行し、最初は歯ぐきの炎症から始まります。歯周病が重度にまで進行すると、軽度や中等度の段階では見られない深刻な症状が現れます。これらの症状を放置すると抜歯が避けられなくなることもあるため、早い段階での治療が重要です。
以下で重度の場合の症状についてくわしく解説します。
歯ぐきからの出血と膿
歯周病が重度になると、歯ぐきからの出血が頻繁に見られるようになります。歯磨きや食事の際だけでなく、何もしていない状態でも出血することが増え、歯と歯ぐきの間から膿が出るようになります。これは歯周ポケット内で細菌が繁殖し、組織が破壊されているサインです。
歯が揺れる・抜ける
重度の歯周病では、歯槽骨という歯を支えている骨にまで炎症が進行し、歯槽骨が溶けていきます。歯槽骨が溶けると、歯茎が下がって歯が長く見えたり、歯がグラグラと揺れます。最悪の場合には、歯を支える土台がなくなることで、歯が自然に抜け落ちたりする可能性もあります。
また、歯並びに影響が出ることで噛み合わせが悪くなるケースもあるでしょう。
口臭が強くなる
重度の歯周病になると、口臭が非常に強くなります。歯周ポケットの深い部分で細菌が繁殖し、膿や出血がたまっていくことで、腐敗臭のような強烈な悪臭が発生します。これは揮発性硫黄化合物(VSC)というガスが原因で、特にメチルメルカプタンという成分が独特の不快な臭いを生み出します。
軽度〜中等度の段階でも自覚しやすいですが、重度になると口を閉じていても臭いがもれるほどになり、セルフケアではほとんど改善しません。
体全体への影響
重度の歯周病は、単にお口の中だけの問題ではなく、全身の健康にも悪影響を及ぼすことがわかっています。歯周病の原因となる細菌が血流に乗って体内を巡ることで、慢性的な炎症を引き起こす可能性があるのです。
特に、糖尿病や心筋梗塞・脳梗塞だけでなく、早産や低体重児出産、誤嚥性肺炎などの発症リスクが高まることが報告されています。
歯周病が重度になる原因

歯周病が重度になる背景には、複数の要因が重なり合っています。主な原因は以下のとおりです。
プラークの蓄積
プラークとは、歯の表面にたまる白っぽい汚れで、細菌のかたまりです。これがたまると、歯ぐきが腫れたり、炎症が起きたりして、歯周病の原因になります。
プラークは歯ブラシで取り除けますが、取り残しが続くと固くなって歯石になり、歯ブラシでは落とせなくなります。歯石は細菌の温床のため、放置すると歯ぐきの奥に炎症が広がりやすくなり、歯周病の進行に繋がるのです。
喫煙の習慣がある
喫煙は、歯周病が進行しやすくなる要因の一つです。タバコに含まれるニコチンや一酸化炭素、タールなどの有害物質が歯ぐきの血管を収縮させます。血流が悪化すると炎症が治りにくくなるだけでなく、細菌に対する防御力が弱まります。
さらに、喫煙者は歯ぐきからの出血などの炎症症状が出にくく、歯周病が隠れたまま進行しやすいという特徴があります。そのため、喫煙は歯周病の進行を早め、治療効果を低下させる大きな要因となるのです。
口呼吸やだらだら食べなどの習慣
口呼吸が習慣化していると、口腔内が乾燥しやすくなります。唾液には細菌の増殖を抑える作用がありますが、乾燥した環境ではこの働きが弱まり、歯周病のリスクが高くなります。
また、だらだらと長時間食べ続けるような食習慣も、口腔内が常に酸性に傾きやすく、細菌が繁殖しやすい環境になります。どちらも無意識に続けていることが多く、気づかないうちに歯周病を悪化させる要因となっている可能性があります。
重度の歯周病の治療法

重度の歯周病は、日常的なセルフケアや一般的な歯科治療だけでは改善が難しく、専門的な処置が必要になります。ここでは、重度の歯周病に対して行われる治療法を紹介します。
歯周基本治療
歯周病の治療は、まず歯周基本治療から始まります。これは、専用の機械を使用しプラークや歯石を徹底的に除去したり、ブラッシング指導でセルフケアの質の向上を目指して病気の進行を食い止め、炎症を抑えることを目的とした治療です。
この治療で細菌数を減らし、歯周組織の健康回復を促します。すべての歯周病治療の土台となる重要な段階であり、これを丁寧に行うことで、その後の治療効果も高められます。
歯周外科治療
歯周病が重度にまで進行していると、歯周基本治療では改善が難しい場合なども多いです。そのような場合に行う、重度の歯周病に特化した治療法として、以下の方法があります。
- フラップ手術
フラップ手術は、歯ぐきを切り開いて歯の根の周りを直接見ながら、病気の部分を取り除く治療のひとつです。通常の歯石取りでは届かない深い場所にたまった汚れや細菌を目で確かめながら徹底的に除去することができるため、重度の歯周病治療に効果的です。
治療後は再び歯ぐきを閉じることで、治りやすい環境を整えられるのもメリットです。手術には局所麻酔を使うため、痛みの心配はほとんどありません。
- 歯周組織再生療法
歯周組織再生療法とは、専用の薬剤や特殊な膜を使って、失われた歯ぐきや歯槽骨の再生を促す治療法です。代表的な方法としては、GTR法やエムドゲイン法、リグロス法などがあります。
しかし、全ての患者さまに対して行えるわけではありません。治療を行うかどうかは、歯科医師としっかりと相談する必要があるでしょう。
抜歯
重度の歯周病では、歯を支える骨が大幅に吸収されて歯を残すことが難しいケースもあります。そのようなケースでは、抜歯が避けられないこともあるでしょう。
抜歯後は、噛む力のバランスを保つために、ブリッジや入れ歯、インプラントといった歯を補う治療が検討されます。補綴治療は機能回復だけでなく、見た目や話しやすさにも関わる重要な治療です。
歯周病を予防する方法

歯周病は、日々の生活習慣やセルフケアの積み重ねによって予防が可能です。ここでは、歯周病を予防する方法を詳しく解説します。
正しい歯磨き習慣を身につける
歯周病対策の基本は、なんといっても毎日の歯磨きです。歯ブラシの毛先を歯と歯ぐきの境目に45度で当て、軽い力で小刻みに動かしましょう。順番を決めて磨く順を決めると、磨き残しを防ぎやすくなります。
歯の表面だけを磨いても、歯周ポケットに潜んだプラークは落とせません。歯ブラシの毛先が歯周ポケットに入り込むようなイメージで磨きましょう。
就寝中は唾液の分泌が減るため、細菌が繁殖しやすくなります。寝る前の歯磨きを徹底することが、歯周病予防に効果的です。
また、歯科医院ではブラッシング指導を受けることもできます。定期的に自分の歯磨きを見直すことも意識しましょう。
食生活の改善
毎日の食生活を整えることも、歯周病予防にとても重要です。歯ぐきや骨を健康に保つためには、偏りのない栄養バランスを心がけることが基本です。
柔らかい食べ物ばかりに偏った食事や、糖分の多い食品を頻繁に摂ることは、歯周病を引き起こしやすくするので注意が必要です。しっかり噛んで、規則正しい食生活を心がけることが、歯周病予防の基本となります。
生活習慣を見直す
睡眠不足や不規則な生活は免疫力を低下させ、歯周病菌の活動を助長します。規則正しい生活や禁煙、十分な睡眠を心がけることで、口腔内の健康を保ちやすくなります。
ストレスも免疫機能に影響を与えるため、できるだけ上手に解消する方法を見つけましょう。
定期的に歯科医院でクリーニングを受ける
歯周病を防ぐには、セルフケアとプロによるケアの両方が大切です。数カ月に一度、定期的に歯科医院で歯のクリーニングを受けることで、普段の歯磨きでは取りきれない歯石や歯垢を除去できます。
歯石は自分では落とせないため、歯周病の進行を防ぐためには歯科医院での定期的なケアが欠かせません。受診する頻度は個人差があり、歯周病のリスクが高い方はより高頻度でケアを行うと良いでしょう。
まとめ

重度の歯周病は、歯ぐきの腫れや出血、膿、口臭、歯のぐらつきなど多くの深刻な症状を引き起こし歯を失う原因にもなります。さらに進行すると、全身の健康にも影響を与えるため、早期の対応が大切です。
歯周病の原因には、プラークの蓄積や喫煙、ストレスなどがあります。治療方法にはプラークや歯石を取り除く治療や、破壊された組織を再生する治療が検討されます。
歯周病の治療を検討されている方は、長野県長野市にある歯医者「たかみさわ歯科医院」にお気軽にご相談ください。
当院は、先を見据えた歯科治療を全ての患者様にお届けできるよう意識して診療を行っています。一般歯科だけでなく、審美歯科やホワイトニング、マウスピース矯正、インプラントなどさまざまな治療に対応しています。
ホームページはこちら、WEB予約も受け付けております。公式Instagramも更新しておりますので、ぜひチェックしてみてください。



